பிரிட்டனை சேர்ந்த பெண் ஒருவரின் கண்ணில் 28 ஆண்டுகளாக சிக்கியிருந்த காண்டாக்ட் லென்ஸ் அறுவை சிகிச்சை மூலம் நீக்கப்பட்டுள்ளது.
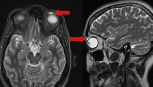
பிரிட்டனை சேர்ந்த பெண்(48) ஒருவர் கண்ணில் வீக்கம் ஏற்பட்டதால் சிகிச்சைக்காக மருத்துவமனையில் அனுமதிக்கப்பட்டார். அப்போது அவரது கண்ணை ஸ்கேன் செய்த மருத்துவர்கள் அதிர்ச்சியடைந்தனர். அவரது இடது கண்ணின் மேற்புறத்தில் சுமார் 8 மில்லி மீட்டர் அளவுடைய காண்டாக்ட் லென்ஸ் சிக்கியிருப்பதை ஸ்கேன் மூலம் மருத்துவர்கள் கண்டறிந்தனர்.
இது பற்றி அப்பெண்ணிடம் கேட்டபோது, சிறுவயதில் காண்டாக்ட் லென்ஸ் அணிந்து கொண்டு பேட்மிட்டன் விளையாடிய போது பந்து இடது கண்ணின் மீது பட்டது. அதில், கண்ணில் இருந்த லென்ஸ் கீழே விழுந்துவிட்டதாக எண்ணி விட்டுவிட்டதாக கூறினார்.
ஆனால், அந்த லென்ஸ் கீழே விழாமல் 28 ஆண்டுகளாக அவரது கண்ணின் மேற்புறத்தில் சிக்கி இருந்துள்ளது. வலி போன்ற எவ்வித அறிகுறிகளையும் ஏற்படுத்தாமல் இவ்வளவு ஆண்டுகளாக அவரது கண்ணிலேயே லென்ஸ் சிக்கி இருந்துள்ளது.
பின்னர் இந்திய வம்சாவளியை சேர்ந்த கண் நிபுணர் சர்ஜூன் பாட்டில் மற்றும் அவரது சக மருத்துவர்கள் அடங்கிய குழு அறுவை சிகிச்சை மூலம் காண்டாக்ட் லென்சை நீக்கினர். பார்வை பாதிப்பு ஏற்படாமல் அந்த பெண் தற்போது குணமாகி வருவதாக பிரிட்டனில் வெளியாகும் மருத்துவ வாரஇதழ் ஒன்றுக்கு அளித்த பேட்டியில் சர்ஜூன் பாட்டில் தெரிவித்துள்ளார்.

